폐렴 23가 무료 접종의 필요성
폐렴 23가는 폐렴 예방을 위해 매우 중요한 백신입니다. 실제로 폐렴은 노인, 어린이, 그리고 면역력이 약한 사람에게 치명적일 수 있습니다. 무료 접종은 이러한 위험을 줄이는 데 큰 도움이 되며, 모든 국민이 쉽게 접근할 수 있도록 만들어졌습니다. 특히, 겨울철 감기와 함께 유행하는 폐렴은 예방이 필수입니다. 그러므로 폐렴 23가 무료 접종은 국민 건강 증진에 매우 중요한 역할을 하고 있습니다.

많은 사람들이 접종의 필요성을 느끼지 못하는 경우가 많습니다. 하지만 폐렴은 단순한 감기가 아니라, 심각한 합병증을 유발할 수 있는 질병입니다. 만약에 자신이 감기 증상을 보인다면, 즉각적으로 의사와 상담하고 접종 여부를 고민하는 것이 좋습니다. 이렇게 하면 건강을 지키는 데 큰 도움이 될 것입니다. 폐렴 23가 무료 접종은 특히 이런 경우에 매우 소중한 선택이 됩니다.
무료 접종의 대상과 방법
폐렴 23가 무료 접종의 대상은 주로 만 65세 이상 노인과 면역력이 저하된 사람들입니다. 하지만 무료 접종을 받을 수 있는 기회는 모든 연령대의 국민에게 열려 있습니다. 건강한 젊은 이들도 예방을 위해 접종을 고려하는 것이 좋습니다. 접종 방법은 간단하며, 병원을 방문해 의사와 상담 후 진행됩니다. 보통 주사 형태로 간단히 이루어집니다.
폐렴 23가 무료 접종을 원한다면, 먼저 지역 보건소나 병원에 문의해보는 것이 좋습니다. 접종 일정이나 방법에 대한 정보는 빠르게 파악할 수 있습니다. 또한, 사전 예약제로 운영되는 경우가 많으니 미리 준비하는 것이 중요합니다. 기억해두세요, 폐렴 23가 무료 접종은 단순히 예방주사가 아닌 건강을 지키는 중요한 투자라는 점입니다.
접종 후 주의사항
폐렴 23가 무료 접종 후에는 몇 가지 주의사항이 있습니다. 대부분의 경우, 백신 접종 후 특별한 이상 반응이 없지만, 일부 사람들에게는 경미한 부작용이 발생할 수 있습니다. 이에는 접종 부위의 통증, 발열, 피로감 등이 포함됩니다. 이런 증상들은 대개 며칠 이내에 사라집니다.
하지만, 만약 부작용이 심각하다면 즉시 병원에 가서 진료를 받는 것이 좋습니다. 늘 건강 관리는 소홀히 하면 안 되는 것인데요, 폐렴은 예방 가능한 질병이므로 적극적으로 예방하는 것이 중요합니다. 감기가 유행하는 겨울철에는 더욱 그렇습니다. 조기에 예방하여 건강한 생활을 유지하는 것이야말로 모두의 바람이겠죠?
백신에 대한 오해와 진실
폐렴 23가 무료 접종에 대한 여러 가지 오해가 존재합니다. 가장 흔한 오해 중 하나는 백신을 맞으면 폐렴에 걸리지 않는다는 것입니다. 사실, 백신은 폐렴의 위험성을 줄여주는 것이지 절대적인 예방을 보장하지는 않습니다. 따라서 건강한 생활습관을 유지하며, 필요 시 추가적인 조치를 취하는 것이 필요합니다.
또한, 일부 사람들은 백신 접종 후에 폐렴과 같은 병에 걸리는 경우가 많아 이 백신에 대한 신뢰를 잃기도 합니다. 그러나 이는 백신 외에도 다양한 요인이 작용하기 때문에, 반드시 그렇게 생각해서는 안 됩니다. 폐렴 23가 무료 접종은 여전히 중요한 예방 수단 중 하나입니다. 믿음을 가지고 접종하는 것이야말로 건강을 지키는 첫걸음입니다.
폐렴 23가 무료 접종의 진단 및 치료 효과
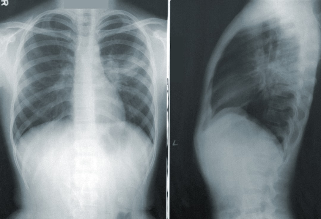
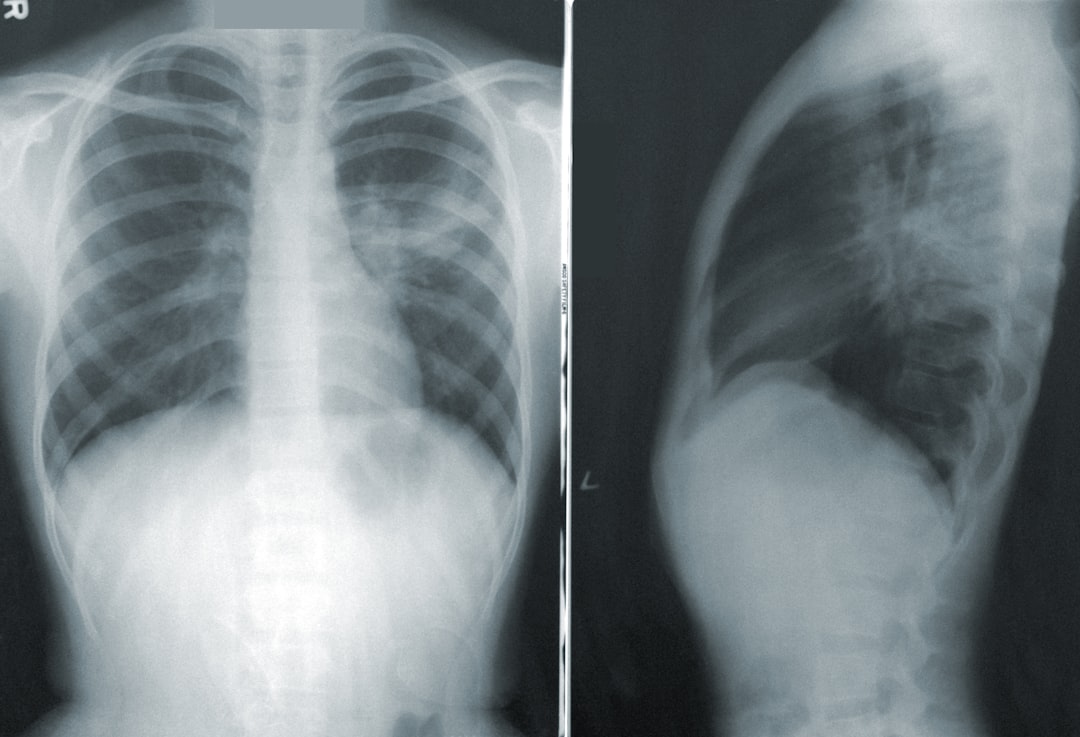
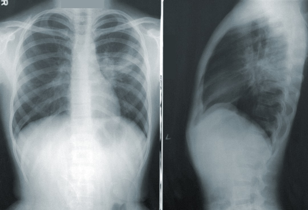
폐렴 23가 무료 접종은 단순한 예방을 넘어 진단 및 치료 측면에서도 긍정적인 효과를 가지고 있습니다. 연구 결과에 따르면, 백신 접종 후 폐렴 발생률이 확연히 줄어드는 것으로 나타났습니다. 실제로 많은 환자들이 예방접종 이후 병원에 입원하는 경우가 줄어들었습니다. 이는 국민 건강 증진에 큰 영향을 미치고 있습니다.



무엇보다, 예방접종은 의료 시스템에 대한 부담을 줄여줍니다. 병원과 공공 보건 서비스에 대한 이용을 줄여줄 뿐만 아니라, 의료비용의 절감에도 기여합니다. 그래서 폐렴 23가 무료 접종은 개인의 건강뿐만 아니라 사회 전체의 건강에도 이바지하는 매우 중요한 요소입니다.
FAQs: 폐렴 23가 무료 접종에 대한 자주 묻는 질문들
Q1: 폐렴 23가 무료 접종은 언제 받을 수 있나요?
A1: 폐렴 23가 무료 접종은 연중 내내 가능하지만, 일반적으로 가을과 겨울철에 특히 추천됩니다. 자세한 일정은 지역 보건소에 문의하세요.
Q2: 백신 접종 후 어떤 부작용이 있을 수 있나요?



A2: 대부분은 접종 부위의 통증, 가벼운 발열, 피로감 등의 경미한 부작용이 있지만, 심각한 반응은 드뭅니다.



Q3: 폐렴 23가 무료 접종과 다른 백신의 차이는 무엇인가요?
A3: 폐렴 23가는 특정 품종의 폐렴균에 대해 예방하는 백신으로, 다른 백신과의 차이점이 있습니다. 각 백신은 예방할 수 있는 질병이 다릅니다.
추천 글
충남 당진 봄 여행지 추천 코스 | 꽃길 따라 떠나는 여행
충남 당진의 아름다운 봄 풍경충남 당진에서 만나는 봄은 그야말로 경이로움의 연속입니다. 매년 이 시기가 다가오면, 화사한 꽃들이 만개하면서 우리의 마음을 설레게 하죠. 당진은 특히 벚꽃
information.promoexplorerbase.com
허리통증 약 성분 효능과 복용법 총정리 2025년
허리통증 약 성분과 그 효능허리통증은 현대인의 삶에서 가장 흔하게 경험하는 증상 중 하나입니다. 이런 통증을 덜어주기 위한 다양한 약들이 시중에 나와 있으며, 여기에는 여러 가지 성분이
information.promoexplorerbase.com
모스 부호란 역사 특징 사용법 정복하기, 번역기 활용법 안내
모스 부호란?모스 부호는 알파벳과 숫자를 점과 대시의 조합으로 표현하는 통신 시스템입니다. 역사적으로 모스 부호는 전신 통신의 혁신적인 도구로, 긴 거리에서도 메시지를 효과적으로 전달
information.promoexplorerbase.com
결론
폐렴 23가 무료 접종은 건강 관리를 위한 매우 중요한 수단입니다. 자신과 사랑하는 사람들을 위해, 적극적으로 접종을 고려해보세요. 건강한 삶을 지키는 모든 작은 노력이 모여 큰 변화를 만들어 갈 수 있습니다. 폐렴 23가 무료 접종을 통해 보다 건강하고 행복한 일상을 누리시길 바랍니다.